科普动态
关注锐赛微信公众号获取即时消息

中风后遗症有救了!干细胞疗法多机制协同 打开康复新通道

来源:锐赛细胞库 发布:2025-09-24 阅读:8


01

引言


“中风” 即脑卒中,是威胁中国居民健康的 “头号劲敌”,也是导致国人寿命缩短的首要疾病,还会侵蚀生活质量甚至生命。


《中国脑卒中防治报告(2023)》显示:我国40岁及以上人群脑卒中现患人群1242万,发病人群趋年轻;每年发病200万、发病率120/10万、死亡120万。存活者中50%-80%有功能障碍,75%丧失劳动能力、40%严重残疾。



脑卒中是急性脑血管疾病统称:分脑血管破裂出血(如脑出血)和血管阻塞致供血中断(如脑梗塞),均损伤脑组织,且发病急、进展快、后果重,后遗症含瘫痪、语言障碍等,给个人、家庭和社会带来重负。



目前针对脑卒中的治疗,仍存在诸多局限:


缺血性脑卒中可用溶栓疗法,但有严苛 “时间窗”,错过仅能支持或姑息护理;后遗症康复(如针灸、功能训练)仅缓解症状,难修复受损脑组织、恢复丢失的感知和活动能力。因此,寻找 “直击病灶” 修复脑组织的方法,是医学亟待解决的难题。



02

干细胞疗法:多机制协同,打开康复新通道


近年来,干细胞疗法的快速发展,为脑卒中治疗带来了突破性思路。它并非依靠单一作用起效,而是通过多种机制协同发力,促进受损脑组织修复:


免疫调节护脑:抑制过度激活的小胶质细胞(脑部免疫细胞),减少 TNF-α、IL-6 等促炎因子的释放,同时增加 IL-10 等抗炎因子,减轻脑部炎症损伤,为脑组织修复 “扫清障碍”;


分泌因子保神经:干细胞能分泌 BDNF(脑源性神经营养因子)、VEGF(血管内皮生长因子)等物质,为受损的神经元提供 “营养支持”,促进神经元存活和突触重塑;


新生血管供能量:推动脑部微循环改善,帮助修复缺血半暗带(penumbra)区域,为缺血的脑组织重新 “供血供氧”;


细胞替代建回路:干细胞可分化为神经元、内皮细胞、血管平滑肌细胞等,替代受损细胞,重建断裂的神经回路,从根本上改善神经功能缺陷。



02

临床案例见证:干细胞疗法的真实疗效


国内外大量临床研究已证实,干细胞干预脑卒中具有安全性、可行性和有效性,多个案例让患者看到了康复的希望:


案例 1:偏瘫患者重获运动能力


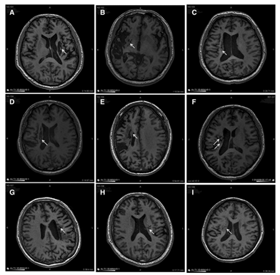
解放军总医院在《干细胞转化医学》杂志上公布了一项研究:9 名 30-65 岁的脑卒中偏瘫患者,在中风后 5-24 个月接受了人源神经干细胞 NSI-566 的脑内回输(注入梗塞灶附近)。经过 24 个月随访,影像学显示干细胞植入区长出了新的神经组织;



更重要的是,9 名患者的偏瘫症状均明显改善 —— 这得益于干细胞分化为神经细胞、分泌营养因子、促进神经和血管再生的综合作用。



案例 2:肌张力与语言能力双改善


2019年初,休斯顿大学健康科学中心对20例脑出血病程为1~3个月的患者,进行了干细胞移植,术后经过两年的随访发现,经干细胞治疗的患者其预后程度优于未经干细胞移植治疗的同期脑出血患者,尤其在语言表达能力、吐字清晰度和肌张力方面,改善较为明显。



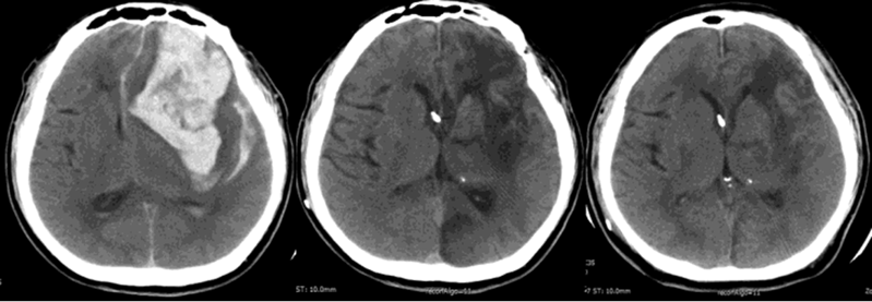
案例 3:植物人患者脱离生命支持


一位 51 岁男性患者,因左额顶叶脑出血性卒中陷入植物状态,伴有高血压病史,出院时需气管切开和鼻胃管喂养,家庭护理期间毫无改善。



随后他接受了脑室间充质干细胞移植:3 周后首次移植,1 个月、2 个月时再次移植,全程无不良反应。随访结果令人惊喜:3 个月、6 个月、12 个月时,他的 NIHSS(国家卫生研究所卒中量表)评分从 23 分分别降至 20 分、19 分、19 分;12 个月时,他已能坐在轮椅上,成功脱离气管切开管和鼻胃管,影像学还显示枕部梗死面积和血肿周围低密度区域明显缩小。




02

结语


从临床研究数据到真实患者的康复案例,干细胞疗法正突破传统治疗的瓶颈,以 “修复受损脑组织” 为核心,为脑卒中患者带来 “重获新生” 的可能。随着研究的不断深入和技术的持续优化,未来这一疗法有望惠及更多患者,让 “中风后难康复” 的困境成为过去,为千万家庭驱散健康阴霾。


内容来源网络公开资料,锐赛新媒体中心 综合整理。


声明:本文内容仅用于科普交流,不构成任何医疗建议或治疗方案推荐。


文中涉及的科研成果、临床数据等信息均来源于公开文献及权威机构发布,仅供参考。由于医学的复杂性,个体案例不代表普遍疗效,请勿盲目解读。


本平台不对用户基于本文内容作出的任何决策承担责任,相关治疗请务必前往正规医疗机构,在专业医生指导下进行。


本文图片来源网络,如有版权问题请联系删除。本声明最终解释权归公众号所有。


cache
Processed in 0.010017 Second.